가정동임플란트 임플란트 주위염으로 인해
최근 상실된 치아를 대신하는 치료로 임플란트 식립을 많이 찾으시는데요. 임플란트는 자연치와 유사한 외형과 기능으로 제3의 치아라고도 불릴 만큼 보편화되어있습니다.
하지만 임플란트는 식립을 한 후 끝이 아니라 사후관리에 따라 수명이 결정된다고 해도 과언이 아닌데요. 관리를 소홀히 한다면 임플란트 주위염이 발생하여 결국 재식립이라는 결과를 낳을 수 있어 관리의 중요성을 더욱 강조하곤 합니다.
임플란트 주위염이란 식립한 주변의 잇몸 부위에 염증이 생겨 생기는데요. 임플란트의 경우 자연치와 다르게 신경과 혈관이 없어 문제가 생겼을 때에 바로 알아차리기 어려운 만큼, 그대로 방치해두어 점차 잇몸뼈가 소실되고, 잇몸에서 피와 고름이 나며 냄새가 나는 증 상이 있을 때에 내원하는 분들이 많습니다. 이런 경우 힘들게 심어놓은 임플란트를 빼야 하는 상황을 마주하게 되는 것이죠.

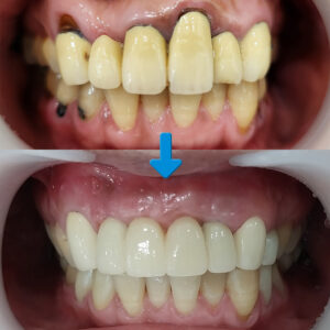
오늘은 임플란트 주위염으로 잇몸뼈의 소실이 있어 재 식립을 진행하신 분의 사례를 소개해 드리겠습니다.
환 자분께서는 오른쪽 위아래의 어금니가 잇몸이 많이 붓고 무언가 저작할 때마다 아픔과 함께 심어논 치아가 흔들린다는 주소로 내원해 주셨는데요. 파노라마 사진을 보시면 오른쪽 위아래의 어금니 치아에 염증성 소견이 발견되었습니다.
이 환 자분의 경우 전반적으로 치주염이 존재하였습니다. 오른쪽 아래 두 번째 큰 어금니의 뿌리 주변으로 검은색 투과성의 염증이 보이며, 특히 오른쪽 위에 심어놓은 어금니 주변으로는 분화구 모양으로 잇몸뼈가 흡수된 양상을 보였는데요.
오른쪽 위 큰 어금니 2개의 경우 염증이 많이 있어, 고름이 차고 많이 흔들리는 모습을 보였습니다. 그동안 치과에 오셔야지 하면서도 버티셨다가 결국 주변 분들에게 가정동임플란트를 추천 받아 리더탑으로 오시게 된 것인데요.

환 자분의 경우에는 염증이 이미 오랜 기간 방치되어 서서히 잇몸뼈를 소실시켰고 주위염이 생기면서 기존에 심어진 임플란트를 제거하지 않으면 주변의 다른 부위에도 영향을 미칠 수 있어 재수술이 불가피한 상황이었습니다.
또한 오른쪽 위의 어금니 부위에는 광대뼈 안쪽이 공간인 상악동이 위치하고 있는데요. 임플란트 주위염으로 인해 잇몸뼈의 소실이 많이 진행되었고, 상악동도 아래로 많이 내려와 상악동 거상술을 동반한 재식립이 필요하였습니다.
따라서 오른쪽 위의 염증이 이미 많이 진행된 큰 어금니 2개와 오른쪽 아래의 두 번째 큰 어금니 치아는 발치를 가장 먼저 진행하고, 내부의 염증을 제거한 후, 빈 공간에 임플란트 식립을 하기로 치료 계획을 세웠습니다. 우선 발치를 진행하였고, 발치 후의 상태를 보시면 남은 잇몸뼈가 거의 없는 것을 확인할 수 있습니다.

환 자분의 경우처럼, 위턱의 해부학적 구조물인 상악동이 아래로 많이 내려와 있으며 전반적으로 잇몸뼈의 소실이 있는 경우에는 충분한 높이의 뼈가 없어 무리하게 식립을 진행하면 상악동이 뚫리며 천공이 생길 수 있는데요.
나무의 뿌리를 잘 잡아줄 수 있는 땅이 잘 자리 잡아야 온전히 버틸 수 있는 것처럼 임플란트 또한 잘 심는 것도 중요하지만, 심어지는 뼈의 양과 질이 매우 중요하다고 볼 수 있습니다. 따라서 상악동 거상술과 뼈이식이 함께 동반되어야 하는 케이스였습니다.
상악동 거상술이란 안정적인 식립을 위해 상악동 막을 들어 올린 후 빈 공간에 뼈이식을 하여 식립을 위한 공간을 확보해 주는 방법입니다. 쉽게 말하면 임플란트를 심을 수 있는 뼈의 양을 확보하는 것이죠. 가정동임플란트를 추천 받고 오신 환 자분의 파노라마 사진을 보시면 오른쪽 위의 상악동 거상술과 뼈이식이 온전하게 잘 진행되어 비어있던 부분이 채워져 있는 모습을 보실 수 있습니다.

리더탑에서는 임플란트 식립 시 단순한 파노라마 사진을 통해 판단하는 것이 아니라 현재 상태를 면밀하게 볼 수 있는 3D CT를 이용해 촬영 및 분석하여 적절한 치료 계획을 세우고 있습니다.
왼쪽의 상악동 거상술 전의 모습에서는 임플란트를 제거한 후의 모습으로 잇몸뼈의 양이 얼마 남지 않은 모습이며, 오른쪽은 상악동 거상술과 뼈이식을 함께 진행하여 뼈의 양이 충분하게 찬 것을 볼 수 있습니다.

상악동 거상술을 동반한 식립까지 안정적으로 마친 모습인데요. 상악동 거상술을 진행한 경우에는 현재 환 자분의 상태에 따라 뼈이식과 동시에 식립하기도 하고 단단해지기까지 기다린 후 식립을 진행하기도 합니다.
인공치근이 제대로 잇몸뼈에 유착될 수 있도록 충분한 기간을 가져 기다린 후, 추후에 치아머리 역할을 하는 보철물을 얹어 마무리하는 것으로 하는 것으로 상의하였습니다.

위쪽의 경우에는 상악동이 잇몸뼈와 가까운 위치에 있어 뼈 두께가 얇은 경우가 많은데요. 이를 제대로 파악하지 않은 채로 무리하게 할 경우 구멍이 발생하며 입으로 물을 삼킬 때 코로 흘러나오거나 염증을 야기할 수 있기 때문에 정확한 진.단이 필요합니다.

상악동 거상술을 동반한 임플란트 식립의 경우, 단순히 잇몸뼈를 채우는 것이 아니라 새로운 잇몸뼈의 형성을 유도할 수 있도록 세심하게 진행되어야 하기에 난이도가 높다고도 말할 수 있는데요. 따라서 정확한 진.단과 함께 다년간의 노하우를 가진 의료진에게 맡기시는 것이 맞습니다.
리더탑의 대표원장님께서는 풍부한 임상 경험과 노하우를 겸비하며 체계적인 진료로 도와드리고 있으며 사후관리 또한 철저하게 하고 있습니다. 그 누구보다도 힘들게 치료받으신 환 자분들의 마음을 알기에 치료 후에도 건강하고 튼튼한 치아를 유지할 수 있도록 1:1 맞춤 관리로 도와드리고 있어 믿고 맡기실 수 있습니다.
치료해야 할 치아가 있다면 미루지 마시고 조기에 치료받아 건강한 구강을 유지하시기 바랍니다.
*모든 증례 사진은 의료법 제23조, 제 56조에 의거하여 환자분의 동의 하에 업로드가 진행되었습니다.
*치료 사진은 모두 본원에서 치료한 환자분의 사진입니다.
*치료 사진은 모두 동일인의 사진이며, 동일조건에서 촬영하였습니다.
*개인의 차이에 따라 시술 및 수술 후 부작용이 발생할 수 있으며, 의료진과 충분한 상담을 받으시기 바랍니다.