가정동치과 아래쪽 앞니 발치 후 브릿지 수복
말하거나 웃을 때 가장 먼저 보이는 앞니는 심미적인 비중이 높아 치료 방법 선택에 더욱 신중함이 요구됩니다. 앞니가 손상되거나 치주질환, 외상 등으로 발치가 불가피한 경우 대표적인 치료 방법으로는 임플란트와 브릿지가 있는데 두 치료 모두 상실된 치아를 대체하는 방법이지만 구조와 장단점에는 뚜렷한 차이가 있는데요.
브릿지는 상실된 치아의 양옆 자연치를 삭제한 뒤 이를 지지대로 삼아 보철물을 연결하는 방식으로 비교적 치료 기간이 짧고 수술 부담이 적다는 장점이 있지만 멀쩡한 인접치를 삭제해야 한다는 점과 장기적으로 지지 치아에 부담이 커질 수 있다는 단점도 있을 수 있는데요. 특히 앞니 부위에서는 잇몸 라인이 변형되거나 시간이 지날수록 심미성이 떨어질 가능성도 고려해야 합니다.
다른 방법으로는 임플란트가 있는데, 따라서 치아를 상실하게 되었다면 어떤 방법이 더 적합한 선택인지를 고민해야 합니다. 최근 들어 대중적으로 알려진 임플란트도 환자에 따라 치료 방법과 기간에 차이가 있어 맞춤 계획을 세우는 것이 중요한데요. 시술 전 환자의 잇몸뼈 양, 신경 위치, 잇몸과 치아 건강 상태 등을 종합적으로 고려해야 하며 자신에게 맞는 계획을 수립할 수 있는지를 확인해야 합니다.
가정동치과의 앞니치료는 단순히 치아 하나를 채우는 개념이 아니라 잇몸 라인, 주변 치아와의 조화까지 함께 고려해야 하는데요. 앞니 임플란트와 브릿지 중 어떤 치료가 적합한지는 개인의 구강 상태와 생활 환경에 따라 달라질 수 있으므로 경험이 많은 의료진의 정밀한 진단을 바탕으로 결정하는 것이 바람직합니다.

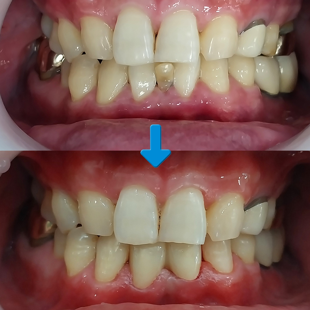
오늘은 가정동치과에서 아래쪽에 남아 있는 유치를 발치하고 브릿지를 진행하신 환자분을 소개해 드리도록 하겠습니다.
환자분께서는 아래 앞니에 유치가 빠지지 않고 남아 있어 보기 싫은데 뽑고 나서의 치료 방법 상담을 위해 내원해 주셨는데요. 다른 치아들은 모두 정상적으로 영구치 상태였지만 아래 앞니만 1개의 영구치가 결손되어 유치가 남아 있는 상황으로 발치 후 양옆의 치아와 조화로울 수 있도록 브릿지를 계획하게 되었습니다.
영구치 결손이 생활에 영향을 미치거나, 심각한 질환으로 이어지지는 않지만 유치는 영구치에 비해 뿌리가 약해 씹는 힘도 약하고 외부로부터의 충격이나 병에도 약한 편입니다. 또한 진작 빠졌어야 할 유치가 오랜 시간 기능을 하면서 영구치에 비해 전체적인 기능도 떨어질 수밖에 없기 때문에 관리가 소홀하면 쉽게 썩거나 상해서 기대 수명이 짧아지게 되므로 발치 후 치료를 권해드립니다.

앞니 브릿지 수복을 통해 기능과 심미성을 동시에 회복할 수 있게 되었습니다.
치아가 없는 부위는 보철물이 잇몸 위에 놓이게 되기 때문에 치료기간이 1~2주 정도 소요되며, 치료 비용도 임플란트에 비해 저렴해 가격부담이 적어 빠르게 회복이 가능하였습니다. 가정동치과의 앞니 치료는 보철물의 크기, 색상, 모양, 각도, 좌우대칭이 조화되어야 하기 때문에 까다롭고 어려운 치료에 속하며 임플란트로 치료한 앞니는 부조화 가능성이 있는 반면 브릿지는 자연스럽고 치아의 형태도 반듯해 정돈된 인상을 줄 수 있다는 장점으로 많은 분들이 선택하고 계십니다.

앞니 심미보철 이후에는 관리 역시 중요한 요소로 작용하는데요. 보철물이 자연치와 유사한 형태를 가지고 있더라도 치태가 쉽게 쌓일 수 있기 때문에 올바른 칫솔질과 치실 사용이 필요하며 정기적인 검진을 통해 보철물 주변 잇몸 상태나 교합 변화를 확인하는 것이 장기적인 유지에 도움이 됩니다.
앞니는 단순히 치아 하나의 문제가 아니라 얼굴 전체 인상과 직결되는 부위이기 때문에 치료 과정에서는 심미성과 기능을 동시에 고려한 접근이 필요하며, 환자의 구강 상태에 맞는 치료 계획이 수립돼야 합니다. 충분한 진단과 계획을 기반으로 진행된 앞니 심미보철은 치아의 기능 회복과 함께 자연스러운 미소 형성에 도움을 줄 수 있습니다. 감사합니다!
*모든 증례 사진은 의료법 제23조, 제 56조에 의거하여 환자분의 동의 하에 업로드가 진행되었습니다.
*치료 사진은 모두 본원에서 치료한 환자분의 사진입니다.
*치료 사진은 모두 동일인의 사진이며, 동일조건에서 촬영하였습니다.
*개인의 차이에 따라 시술 및 수술 후 부작용이 발생할 수 있으며, 의료진과 충분한 상담을 받으시기 바랍니다.